Hírek
2017. Június 01. 10:08, csütörtök |
Életmód
Forrás: mti
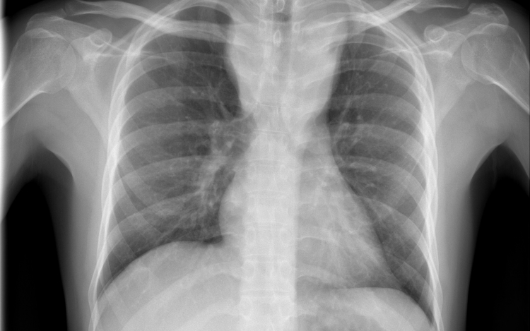
Magyarországon halnak meg a legtöbben tüdőrákban az EU-ban
Az Európai Unióban Magyarországon a legmagasabb, az összes halálok között 27 százaléknyi a tüdőrák okozta halálozások aránya - hangzott el az M1 aktuális csatorna csütörtöki műsorában.
Demjén Tibor, a Dohányzás Fókuszpont vezetője hangsúlyozta: ugyan folyamatosan csökken a dohányzók aránya, de így is a felnőtt népesség 27,5 százaléka dohányzik Magyarországon.
Ez az arány a fiatalok körében 25 százalékos, ám közülük csupán 5 százaléknyian gyújtanak rá naponta - fűzte hozzá.
Kiemelte, kevésbé ismert, hogy a dohányzás nemcsak egészségkárosodást és halált okoz, hanem jelentős környezetszennyezést is. Példaként említette, hogy a világ erdeinek 4 százalékát pusztították el a dohánytermelés érdekében és világszerte 4,3 millió hektáron zajlik dohánytermelés, jelentős műtrágya-felhasználás mellett.
A dohányipar 2 milliárd tonna szilárd hulladékot termel évente és csak Magyarországon 220 vagont töltenének meg évről évre a visszamaradt csikkek - jegyezte meg.
Az Egészségügyi Világszervezet azt javasolja, hogy egy dollárral növeljék a dohánytermékek adóját. Ez egyrészt növelné a visszatartó hatást, másrészt 190 milliárd dollár pluszbevételt eredményezne. Ezt a pénzt pedig megelőző programokra, illetve a leszokás támogatására lehetne költeni - tette hozzá a szakember.
Demjén Tibor azt mondta, a megelőzést már óvodás korban el lehet kezdeni, a gyerekek véleménye mesékkel, foglalkozásokkal alakítható.
Ezek érdekelhetnek még
2026. Március 03. 14:00, kedd | Életmód
A One Magyarország rendkívüli roaming kedvezményt biztosít ügyfeleinek a Közel-Keleten március 7-ig
Rendkívüli roaming kedvezményt biztosít február 28. és március 7. között ügyfeleinek a One Magyarország a Közel-Keleten - közölte a telekommunikációs vállalat hétfőn az MTI-vel.
2026. Március 02. 11:00, hétfő | Életmód
Áder János: egy magyar fejlesztés meg tudja oldani Afrika ívóvíz- és szennyvíztisztítási problémáját
A 21. század nagy kérdése, hogy megfelelő mennyiségű és minőségű vizet tudjunk biztosítani a lakosságnak, az iparnak és a mezőgazdaságnak
2026. Március 02. 07:27, hétfő | Életmód
Iráni konfliktus - XIV. Leó pápa: a stabilitást és a békét nem lehet fegyverekkel felépíteni
2026. Február 28. 16:00, szombat | Életmód
Elindult a református templomokat és műemlékeket bemutató Református Digitális Épített Örökségtár
Elindult a Református Digitális Épített Örökségtár, az új, online adatbázis a református templomok és műemlékek bemutatását tűzte ki célul - közölték az örökségtár készítői pénteken az MTI-vel.